
広島で目頭切開ができるクリニックを紹介します!
成功率が高く、施術が安い、失敗の少ない、上手いクリニックをピックアップし、モニター募集、手術後のダウンタイム、値段、傷跡残りの少なさなど、それぞれのクリニックを比較し口コミを集めました。
失敗しないためのクリニックの選び方も解説しております。
広島エリアにある多くのクリニックを比較することができ、自分に合った病院を見つけることができます!
是非参考にしてくださいね!
聖心美容クリニック 広島院

1993年の開業以来、聖心美容外科は美容医療の進歩に尽力してきました。学会活動やセミナーへの積極的な参加を通じて、美容医療分野における知識と技術の向上に貢献しています。また、世界の最新医療情報を取り入れることに注力し、常に最先端の治療を提供しています。


施術詳細
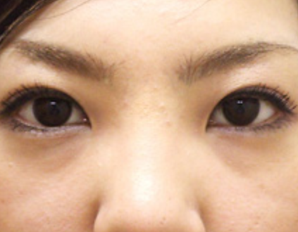
蒙古ひだを切開し、目頭の形状を変える。
副作用・リスク
内出血、腫れ、瘢痕(傷跡)の赤み、肥厚性瘢痕。


施術詳細
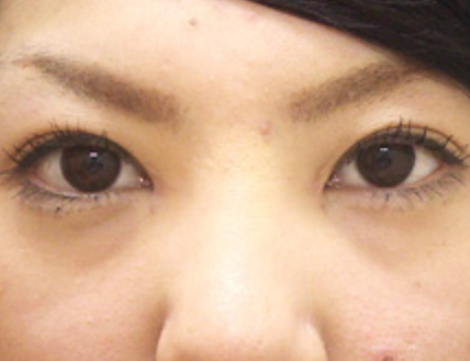
蒙古ひだを切開し、目頭の形状を変える。
副作用・リスク
内出血、腫れ、瘢痕(傷跡)の赤み、肥厚性瘢痕。
聖心美容クリニック 広島院
目頭切開の口コミ
※口コミは個人の感想であり、効果を保証するものではありません
※Google mapの口コミを引用
聖心美容クリニック 広島院の詳細
- アクセス広島バスセンターから徒歩約10分
- 住所
- 営業時間10:00~19:00
TCB東京中央美容外科 広島院

全国に多くの分院を展開する大手の美容外科クリニックで、多くの優れた専門医や高度な技術を持つ医師が揃っています。その規模の大きさにより、質の高い医療を提供し、患者のさまざまなニーズに応える体制が整っています。


施術詳細
目頭を切開して目の横幅を広げる施術。
副作用・リスク
腫れ


施術詳細
目頭を切開して目の横幅を広げる施術。
副作用・リスク
腫れ
TCB東京中央美容外科 広島院
目頭切開の口コミ
※口コミは個人の感想であり、効果を保証するものではありません
※Google mapの口コミを引用
TCB東京中央美容外科 広島院の詳細
- アクセス広島電鉄立町駅から徒歩3分
- 住所
- 営業時間10:00~19:00
東京美容外科 福山院

技術力を重視するクリニックで、美容外科医師として10年以上の経験を持つ医師が施術を担当しています。積極的に海外研修を行い、常に最新の知識と技術を取り入れることで、質の高い美容医療を提供しています。


施術詳細
蒙古ひだを切開し、目の幅のバランスを調整する施術。
副作用・リスク
腫れ


施術詳細
蒙古ひだを切開し、目の幅のバランスを調整する施術。
副作用・リスク
腫れ
東京美容外科 福山院
目頭切開の口コミ
※口コミは個人の感想であり、効果を保証するものではありません
※Google mapの口コミを引用
東京美容外科 福山院の詳細
- アクセス福山駅南口より徒歩5分
- 住所
- 営業時間10:00~19:00
さくら美容クリニック

院長はワンドクターとして、責任を持って診療を行っています。明るく活気に満ちた生活を送れるようになったと、多くの患者様からの声が寄せられています。


施術詳細
蒙古ひだを切ることで改善する手術。
副作用・リスク
赤み


施術詳細
蒙古ひだを切ることで改善する手術。
副作用・リスク
赤み
さくら美容クリニック
目頭切開の口コミ
※口コミは個人の感想であり、効果を保証するものではありません
※Google mapの口コミを引用
さくら美容クリニックの詳細
- アクセス銀山町駅すぐそば
- 住所
- 営業時間10:00~19:00
広島プルミエクリニック

広島プルミエクリニックでは、5つの埋没法を用意しています。患者に最適な方法を提案し、必要に応じて切開法も選択できます。お気軽にご相談できます。


施術詳細
ミリ目頭の蒙古ヒダを切開。
副作用・リスク
内出血・腫れ・むくみ・傷跡の赤み


施術詳細
ミリ目頭の蒙古ヒダを切開。
副作用・リスク
内出血・腫れ・むくみ・傷跡の赤み
広島プルミエクリニック
目頭切開の口コミ
※口コミは個人の感想であり、効果を保証するものではありません
※Google mapの口コミを引用
広島プルミエクリニックの詳細
- アクセス本通駅すぐ
- 住所
- 営業時間9:00~18:00
ルラ(LULA)美容クリニック 広島院

来院した患者に、「素敵な笑顔を開花させる美容クリニック」を目指しています。患者ファーストな対応が人気の秘密で、長く通院できるクリニックとして利用できます。


施術詳細
蒙古ヒダを取り、目頭を内側に伸ばし目の横幅を広げる施術。
副作用・リスク
腫れ・痛み・内出血・傷跡


施術詳細
蒙古ひだを取り除き、目を大きくみせる施術。
副作用・リスク
腫れ・痛み・内出血・傷跡
ルラ(LULA)美容クリニック 広島院
目頭切開の口コミ
※口コミは個人の感想であり、効果を保証するものではありません
※Google mapの口コミを引用
ルラ(LULA)美容クリニック 広島院の詳細
- アクセス広島「本通駅」から徒歩1分
- 住所
- 営業時間10:00~19:00
男たちの美容外科 広島院

腫れぼったい目の改善と同時に、手術後の腫れを最小限に抑える方法を提供しています。主に「(ミニ)Z形成術」を採用しており、この手法では周囲の皮膚を切り取る必要がありません。


施術詳細
蒙古ヒダを切開し目の横幅を拡大する治療。
副作用・リスク
腫れ


施術詳細
蒙古ヒダを切開し目の横幅を拡大する治療。
副作用・リスク
腫れ
男たちの美容外科 広島院
目頭切開の口コミ
※口コミは個人の感想であり、効果を保証するものではありません
※Google mapの口コミを引用
男たちの美容外科 広島院の詳細
- アクセス広島電鉄 八丁堀駅から徒歩5分
- 住所
- 営業時間【平日】10:00~19:00
【土】10:00~18:00
TCB東京中央美容外科 広島院

全国に多くの分院を展開する大手の美容外科クリニックで、多くの優れた専門医や高度な技術を持つ医師が揃っています。その規模の大きさにより、質の高い医療を提供し、患者のさまざまなニーズに応える体制が整っています。


施術詳細
目頭を切開して目の横幅を広げる施術。
副作用・リスク
腫れ


施術詳細
目頭を切開して目の横幅を広げる施術。
副作用・リスク
腫れ
TCB東京中央美容外科 広島院
目頭切開の口コミ
※口コミは個人の感想であり、効果を保証するものではありません
※Google mapの口コミを引用
TCB東京中央美容外科 広島院の詳細
- アクセス広島電鉄立町駅から徒歩3分
- 住所
- 営業時間10:00~19:00
広島プルミエクリニック

広島プルミエクリニックでは、5つの埋没法を用意しています。患者に最適な方法を提案し、必要に応じて切開法も選択できます。お気軽にご相談できます。


施術詳細
ミリ目頭の蒙古ヒダを切開。
副作用・リスク
内出血・腫れ・むくみ・傷跡の赤み


施術詳細
ミリ目頭の蒙古ヒダを切開。
副作用・リスク
内出血・腫れ・むくみ・傷跡の赤み
広島プルミエクリニック
目頭切開の口コミ
※口コミは個人の感想であり、効果を保証するものではありません
※Google mapの口コミを引用
広島プルミエクリニックの詳細
- アクセス本通駅すぐ
- 住所
- 営業時間9:00~18:00
ルラ(LULA)美容クリニック 広島院

来院した患者に、「素敵な笑顔を開花させる美容クリニック」を目指しています。患者ファーストな対応が人気の秘密で、長く通院できるクリニックとして利用できます。


施術詳細
蒙古ヒダを取り、目頭を内側に伸ばし目の横幅を広げる施術。
副作用・リスク
腫れ・痛み・内出血・傷跡


施術詳細
蒙古ひだを取り除き、目を大きくみせる施術。
副作用・リスク
腫れ・痛み・内出血・傷跡
ルラ(LULA)美容クリニック 広島院
目頭切開の口コミ
※口コミは個人の感想であり、効果を保証するものではありません
※Google mapの口コミを引用
ルラ(LULA)美容クリニック 広島院の詳細
- アクセス広島「本通駅」から徒歩1分
- 住所
- 営業時間10:00~19:00
東京美容外科 福山院

技術力を重視するクリニックで、美容外科医師として10年以上の経験を持つ医師が施術を担当しています。積極的に海外研修を行い、常に最新の知識と技術を取り入れることで、質の高い美容医療を提供しています。


施術詳細
蒙古ひだを切開し、目の幅のバランスを調整する施術。
副作用・リスク
腫れ


施術詳細
蒙古ひだを切開し、目の幅のバランスを調整する施術。
副作用・リスク
腫れ
東京美容外科 福山院
目頭切開の口コミ
※口コミは個人の感想であり、効果を保証するものではありません
※Google mapの口コミを引用
東京美容外科 福山院の詳細
- アクセス福山駅南口より徒歩5分
- 住所
- 営業時間10:00~19:00
さくら美容クリニック

院長はワンドクターとして、責任を持って診療を行っています。明るく活気に満ちた生活を送れるようになったと、多くの患者様からの声が寄せられています。


施術詳細
蒙古ひだを切ることで改善する手術。
副作用・リスク
赤み


施術詳細
蒙古ひだを切ることで改善する手術。
副作用・リスク
赤み
さくら美容クリニック
目頭切開の口コミ
※口コミは個人の感想であり、効果を保証するものではありません
※Google mapの口コミを引用
さくら美容クリニックの詳細
- アクセス銀山町駅すぐそば
- 住所
- 営業時間10:00~19:00
男たちの美容外科 広島院

腫れぼったい目の改善と同時に、手術後の腫れを最小限に抑える方法を提供しています。主に「(ミニ)Z形成術」を採用しており、この手法では周囲の皮膚を切り取る必要がありません。


施術詳細
蒙古ヒダを切開し目の横幅を拡大する治療。
副作用・リスク
腫れ


施術詳細
蒙古ヒダを切開し目の横幅を拡大する治療。
副作用・リスク
腫れ
男たちの美容外科 広島院
目頭切開の口コミ
※口コミは個人の感想であり、効果を保証するものではありません
※Google mapの口コミを引用
男たちの美容外科 広島院の詳細
- アクセス広島電鉄 八丁堀駅から徒歩5分
- 住所
- 営業時間【平日】10:00~19:00
【土】10:00~18:00
聖心美容クリニック 広島院

1993年の開業以来、聖心美容外科は美容医療の進歩に尽力してきました。学会活動やセミナーへの積極的な参加を通じて、美容医療分野における知識と技術の向上に貢献しています。また、世界の最新医療情報を取り入れることに注力し、常に最先端の治療を提供しています。


施術詳細
蒙古ひだを切開し、目頭の形状を変える。
副作用・リスク
内出血、腫れ、瘢痕(傷跡)の赤み、肥厚性瘢痕。


施術詳細
蒙古ひだを切開し、目頭の形状を変える。
副作用・リスク
内出血、腫れ、瘢痕(傷跡)の赤み、肥厚性瘢痕。
聖心美容クリニック 広島院
目頭切開の口コミ
※口コミは個人の感想であり、効果を保証するものではありません
※Google mapの口コミを引用
聖心美容クリニック 広島院の詳細
- アクセス広島バスセンターから徒歩約10分
- 住所
- 営業時間10:00~19:00
