
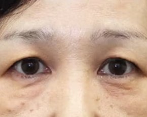
まぶたのたるみや二重がぼやけてきた時におすすめなのが眉下切開。
しかし、どこのクリニックを選べばいいのか迷いますよね。誰もが施術が上手い名医に任せたいのでは?
この記事では、神戸エリアにある眉下切開を行っているおすすめクリニックのメニューや値段、口コミをまとめています。安い順での紹介もしているのでクリニック選びの参考にしてみてください。
神戸で眉下切開が安いクリニック比較表
湘南美容クリニック神戸三宮院
湘南美容クリニック神戸三宮院は2022年6月開院の清潔感あふれるクリニック。美容皮膚科や医療痩身、医療脱毛、二重整形など幅広い施術を提供。広々とした院内でプライバシーに配慮した空間を完備しています。
眉下切開施術の特徴
- 額のシワや眼精疲労も軽減
- 腫れが少なくダウンタイム短め
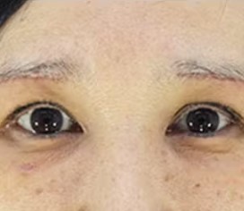
- まぶたのたるみ改善で若返り


施術詳細
眉下ぎりぎりの切開による、たるみまぶたの改善
副作用・リスク
だるさ・熱感・頭痛・蕁麻疹・痒み・むくみ・発熱・咳・冷や汗・胸痛


施術詳細
眉の下のラインぎりぎりを切開し、たるんだまぶたを改善する施術
副作用・リスク
だるさ・熱感・頭痛・蕁麻疹・痒み・むくみ・発熱・咳・冷や汗・胸痛・顔の雰囲気の変化・二重の幅が手術前と変わらない
湘南美容クリニック神戸三宮院
眉下切開の口コミ
※口コミは個人の感想であり、効果を保証するものではありません
※Google mapの口コミを引用
湘南美容クリニック神戸三宮院の詳細
- アクセス阪急三宮駅 西口より徒歩5分
- 住所
- 営業時間10:00~19:00
- 院長小川 元医師
TCB東京中央美容外科神戸院

大手ならではの良心的な価格設定で高品質な施術を提供しています。専門的なケアと高い技術で、実績ある施術をリーズナブルに受けたい方におすすめです。
眉下切開施術の特徴
- 眉下ラインで切開し自然な仕上がり
- 傷跡が目立ちにくい縫合技術
- たるみ除去で視界と二重幅を改善
TCB東京中央美容外科神戸院
眉下切開の料金・症例

- 施術名金額
- 眉下リフトスタンダード83,600円(税込)
- 眉下リフトスーパーナチュラル173,800円(税込)
- 眉下リフトスーパーナチュラルロング297,000円(税込)
- 眉下リフトパーフェクト448,000円(税込)


副作用・リスク
腫れ・痛み・内出血


施術詳細
眉毛の直下にある余分な皮膚、脂肪を除去し、たるんだまぶたを改善させる手術
副作用・リスク
腫れ・痛み・内出血:2日~3ヶ月程度
TCB東京中央美容外科神戸院
眉下切開の口コミ
※口コミは個人の感想であり、効果を保証するものではありません
※Google mapの口コミを引用
TCB東京中央美容外科神戸院の詳細
- アクセスJR三ノ宮駅から徒歩1分
- 住所
- 営業時間10:00~19:00
品川スキンクリニック神戸院

品川スキンクリニック 神戸院は、お一人おひとりに合わせた美容医療を提供する美容皮膚科。施術前には無料カウンセリングを実施しているので初めての方も安心です。JR三ノ宮駅「西口」より徒歩約5分とアクセスも便利です。
眉下切開施術の特徴
- 眉毛下を切開し自然に若返り
- 傷跡は眉毛に馴染み目立たない
- 腫れや内出血が少なく回復早い
品川スキンクリニック神戸院
眉下切開の料金・症例

- 施術名金額
- プレミアム目の上のたるみ取り 両目98,000円(税込)
- 眉下リフト片目238,000円(税込)
- スーパーナチュラル目の上のたるみ取り 両目297,990円(税込)
- 眉下リフト両目297,990円(税込)
- スーパーナチュラル目の上のたるみ取り ロング498,000円(税込)


施術詳細
眉毛下の厚い皮膚の切開による目元の印象改善
副作用・リスク
ハレ/痛み


施術詳細
要問合せ
副作用・リスク
要問合せ
品川スキンクリニック神戸院
眉下切開の口コミ
※口コミは個人の感想であり、効果を保証するものではありません
※Google mapの口コミを引用
品川スキンクリニック神戸院の詳細
- アクセスJR三ノ宮駅「西口」徒歩約5分
- 住所
- 営業時間10:00〜19:00
髙橋クリニック

スローエイジングをコンセプトにしたクリニックです。美容医療やアンチエイジング医療を提供しています。様々な角度からひとりひとりの患者に最適な美しさを引き出す施術を提案してくれます。
眉下切開施術の特徴
- 眉毛下の皮膚を切除し自然な印象
- 二重ラインの厚みを軽減できる
- 腫れぼったい上まぶたに効果的


施術詳細
自然なまま上まぶたを改善
傷が目立ちにくいたるみ施術
二重幅・まぶたの悩みに対応
眉下切開で若々しい目元に
副作用・リスク
腫れ、結膜浮腫、ドライアイ、視力の変化、眼瞼痙攣、異物感
髙橋クリニック
眉下切開の口コミ
※口コミは個人の感想であり、効果を保証するものではありません
※Google mapの口コミを引用
髙橋クリニックの詳細
- アクセス阪神西元町駅から徒歩3分
- 住所
- 営業時間【月水金】9:00〜12:00、15:30〜18:30
【火木】9:00〜12:00、15:30〜18:00
【土】9:00〜12:00
LIKI CLINIC KOBE

美しく若々しくありたいという思いに寄り添い、最善の治療法を提案しているクリニックです。丁寧なカウンセリングで安心感と満足度の高い施術を提供してくれます。
眉下切開施術の特徴
- 上まぶたのたるみを改善する手術
- 眉毛下の厚い皮膚や脂肪を除去
- まつげ付近の皮膚を自然に引き上げる


施術詳細
眉下切除による上まぶたたるみ改善。
ROOF・眼窩脂肪除去で厚み軽減。
術後3ヶ月の自然な仕上がり。
副作用・リスク
合併症や傷跡、重瞼線の乱れ、腫れ、内出血
LIKI CLINIC KOBE
眉下切開の口コミ
※口コミは個人の感想であり、効果を保証するものではありません
※Google mapの口コミを引用
LIKI CLINIC KOBEの詳細
- アクセスJR神戸線三ノ宮駅から徒歩4分
- 住所
- 営業時間10:00~19:00
ソノクリニック神戸院

分かりやすい料金設定と丁寧なカウンセリングが魅力のクリニックです。開院当初から通うリピーターもいるほど信頼度が高く、美容初心者でも安心して通える人気のクリニックです。
眉下切開施術の特徴
- 眉下の皮膚切除でまぶた改善
- 切開線は眉下で傷跡が目立たない
- 若年層の二重幅調整にも対応


副作用・リスク
内出血、疼痛、腫脹
ソノクリニック神戸院
眉下切開の口コミ
※口コミは個人の感想であり、効果を保証するものではありません
※Google mapの口コミを引用
ソノクリニック神戸院の詳細
- アクセス三宮駅より徒歩約5分
- 住所
- 営業時間【月火】9:30~17:30
【水木金】10:00~19:00
【土】10:00~17:00
TCB東京中央美容外科神戸院

大手ならではの良心的な価格設定で高品質な施術を提供しています。専門的なケアと高い技術で、実績ある施術をリーズナブルに受けたい方におすすめです。
眉下切開の!
- 眉下ラインで切開し自然な仕上がり
- 傷跡が目立ちにくい縫合技術
- たるみ除去で視界と二重幅を改善
TCB東京中央美容外科神戸院
眉下切開の料金・症例

- 施術名金額
- 眉下リフトスタンダード83,600円(税込)
- 眉下リフトスーパーナチュラル173,800円(税込)
- 眉下リフトスーパーナチュラルロング297,000円(税込)
- 眉下リフトパーフェクト448,000円(税込)


副作用・リスク
腫れ・痛み・内出血


施術詳細
眉毛の直下にある余分な皮膚、脂肪を除去し、たるんだまぶたを改善させる手術
副作用・リスク
腫れ・痛み・内出血:2日~3ヶ月程度
TCB東京中央美容外科神戸院
眉下切開の口コミ
※口コミは個人の感想であり、効果を保証するものではありません
※Google mapの口コミを引用
TCB東京中央美容外科神戸院の詳細
- アクセスJR三ノ宮駅から徒歩1分
- 住所
- 営業時間10:00~19:00
品川スキンクリニック神戸院

品川スキンクリニック 神戸院は、お一人おひとりに合わせた美容医療を提供する美容皮膚科。施術前には無料カウンセリングを実施しているので初めての方も安心です。JR三ノ宮駅「西口」より徒歩約5分とアクセスも便利です。
眉下切開の!
- 眉毛下を切開し自然に若返り
- 傷跡は眉毛に馴染み目立たない
- 腫れや内出血が少なく回復早い
品川スキンクリニック神戸院
眉下切開の料金・症例

- 施術名金額
- プレミアム目の上のたるみ取り 両目98,000円(税込)
- 眉下リフト片目238,000円(税込)
- スーパーナチュラル目の上のたるみ取り 両目297,990円(税込)
- 眉下リフト両目297,990円(税込)
- スーパーナチュラル目の上のたるみ取り ロング498,000円(税込)


施術詳細
眉毛下の厚い皮膚の切開による目元の印象改善
副作用・リスク
ハレ/痛み


施術詳細
要問合せ
副作用・リスク
要問合せ
品川スキンクリニック神戸院
眉下切開の口コミ
※口コミは個人の感想であり、効果を保証するものではありません
※Google mapの口コミを引用
品川スキンクリニック神戸院の詳細
- アクセスJR三ノ宮駅「西口」徒歩約5分
- 住所
- 営業時間10:00〜19:00
湘南美容クリニック神戸三宮院
湘南美容クリニック神戸三宮院は2022年6月開院の清潔感あふれるクリニック。美容皮膚科や医療痩身、医療脱毛、二重整形など幅広い施術を提供。広々とした院内でプライバシーに配慮した空間を完備しています。
眉下切開の!
- 額のシワや眼精疲労も軽減
- 腫れが少なくダウンタイム短め
- まぶたのたるみ改善で若返り


施術詳細
眉下ぎりぎりの切開による、たるみまぶたの改善
副作用・リスク
だるさ・熱感・頭痛・蕁麻疹・痒み・むくみ・発熱・咳・冷や汗・胸痛


施術詳細
眉の下のラインぎりぎりを切開し、たるんだまぶたを改善する施術
副作用・リスク
だるさ・熱感・頭痛・蕁麻疹・痒み・むくみ・発熱・咳・冷や汗・胸痛・顔の雰囲気の変化・二重の幅が手術前と変わらない
湘南美容クリニック神戸三宮院
眉下切開の口コミ
※口コミは個人の感想であり、効果を保証するものではありません
※Google mapの口コミを引用
湘南美容クリニック神戸三宮院の詳細
- アクセス阪急三宮駅 西口より徒歩5分
- 住所
- 営業時間10:00~19:00
- 院長小川 元医師
ソノクリニック神戸院

分かりやすい料金設定と丁寧なカウンセリングが魅力のクリニックです。開院当初から通うリピーターもいるほど信頼度が高く、美容初心者でも安心して通える人気のクリニックです。
眉下切開の!
- 眉下の皮膚切除でまぶた改善
- 切開線は眉下で傷跡が目立たない
- 若年層の二重幅調整にも対応


副作用・リスク
内出血、疼痛、腫脹
ソノクリニック神戸院
眉下切開の口コミ
※口コミは個人の感想であり、効果を保証するものではありません
※Google mapの口コミを引用
ソノクリニック神戸院の詳細
- アクセス三宮駅より徒歩約5分
- 住所
- 営業時間【月火】9:30~17:30
【水木金】10:00~19:00
【土】10:00~17:00
LIKI CLINIC KOBE

美しく若々しくありたいという思いに寄り添い、最善の治療法を提案しているクリニックです。丁寧なカウンセリングで安心感と満足度の高い施術を提供してくれます。
眉下切開の!
- 上まぶたのたるみを改善する手術
- 眉毛下の厚い皮膚や脂肪を除去
- まつげ付近の皮膚を自然に引き上げる


施術詳細
眉下切除による上まぶたたるみ改善。
ROOF・眼窩脂肪除去で厚み軽減。
術後3ヶ月の自然な仕上がり。
副作用・リスク
合併症や傷跡、重瞼線の乱れ、腫れ、内出血
LIKI CLINIC KOBE
眉下切開の口コミ
※口コミは個人の感想であり、効果を保証するものではありません
※Google mapの口コミを引用
LIKI CLINIC KOBEの詳細
- アクセスJR神戸線三ノ宮駅から徒歩4分
- 住所
- 営業時間10:00~19:00
髙橋クリニック

スローエイジングをコンセプトにしたクリニックです。美容医療やアンチエイジング医療を提供しています。様々な角度からひとりひとりの患者に最適な美しさを引き出す施術を提案してくれます。
眉下切開の!
- 眉毛下の皮膚を切除し自然な印象
- 二重ラインの厚みを軽減できる
- 腫れぼったい上まぶたに効果的


施術詳細
自然なまま上まぶたを改善
傷が目立ちにくいたるみ施術
二重幅・まぶたの悩みに対応
眉下切開で若々しい目元に
副作用・リスク
腫れ、結膜浮腫、ドライアイ、視力の変化、眼瞼痙攣、異物感
髙橋クリニック
眉下切開の口コミ
※口コミは個人の感想であり、効果を保証するものではありません
※Google mapの口コミを引用
髙橋クリニックの詳細
- アクセス阪神西元町駅から徒歩3分
- 住所
- 営業時間【月水金】9:00〜12:00、15:30〜18:30
【火木】9:00〜12:00、15:30〜18:00
【土】9:00〜12:00










