
上まぶたのたるみが気になる方におすすめの治療が、眉下切開(眉下リフト)です。
自然な仕上がりで目元の若返りが期待でき、症状によっては保険適用も可能です。広島には美容外科が多く、「どこが上手くて安いのか分からない」と悩む方も多いでしょう。
そこで今回は、眉下切開の実績が豊富で口コミ評価も高い、広島のおすすめクリニックを厳選してご紹介します。料金や施術内容を比較して、自分に合ったクリニック選びの参考にしてください。
広島で眉下切開が安いクリニック比較表
| クリニック名 | 最安値メニュー | 金額 | HP |
|---|---|---|---|
人気・おすすめ!![]() 聖心美容クリニック 広島院 | 眉下切開(眉下リフト) | 385,000円(税込) | 詳細へ |
![]() 湘南美容クリニック 広島院 | 眉下リフト(眉下切開) | 234,000円(税込) | 詳細へ |
![]() ルラ(LULA)美容クリニック広島院 | 眉下リフト ナチュラル 全顔モニター | 110,000円(税込) | 詳細へ |
![]() TCB東京中央美容外科 広島院 | 眉下リフト スタンダード | 83,600円(税込) | 詳細へ |
![]() 東京美容外科 広島・福山院 | 目の上のたるみ取り 片目 | 165,000円(税込) | 詳細へ |
![]() すず美容形成外科医院 | 眉下切開 | 275,000円(税込) | 詳細へ |
![]() 並木Sクリニック | 眉毛下切除 | 280,000円(税込) | 詳細へ |
![]() 共立美容外科 広島院 | 眉下切開 片目 | 231,000円(税込) | 詳細へ |
![]() 広島プルミエクリニック | 眉下切開法 モニター価格 | 178,000円(税込) | 詳細へ |
聖心美容クリニック 広島院

カウンセリングの際にシミュレーションシステムを元に希望の治療法を決めることが可能なクリニックです。その人の個性に合った美しさにこだわっている院長が在籍しています。
眉下切開施術の特徴
- 自然な仕上がりで目元の印象変わらず
- 皮膚の厚みを軽減し腫れぼったさ改善
- 患者ごとに適したデザインを提案実施
聖心美容クリニック 広島院
眉下切開の料金・症例

- 施術名金額
- 眉下切開(眉下リフト)385,000円(税込)
- 眉下切開(眉下リフト)+脂肪切除473,000円(税込)
- 眉下切開法(眉下リフト)+ROOF切除550,000円(税込)


施術詳細
眉毛下縁の毛流れに沿った切除デザイン。
局所麻酔後の皮膚切除。
必要に応じた眼輪筋・ROOFの切除や吊り上げ処置。
切除部の縫合処理。
副作用・リスク
浮腫、痛み、内出血、血腫、シスト形成、肥厚性瘢痕、眉毛変形、左右差、引き攣れ、閉瞼障害、二重の消失、変形


施術詳細
要問合せ
副作用・リスク
施術後の腫れ、痛み、内出血、左右差、後戻り、シスト(嚢胞)形成、異物感
聖心美容クリニック 広島院
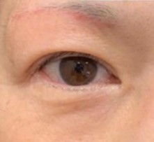
眉下切開の口コミ
※口コミは個人の感想であり、効果を保証するものではありません
※Google mapの口コミを引用
聖心美容クリニック 広島院の詳細
- アクセス市電立町電停より徒歩5分
- 住所
- 営業時間10:00~19:00
湘南美容クリニック 広島院

湘南美容クリニック広島院は、二重整形やクマ取り、脂肪吸引、豊胸、婦人科形成、小顔治療、医療脱毛、医療ハイフ、シミ取り、ヒアルロン酸注入、AGA治療など幅広い施術に対応。立町駅徒歩1分、八丁堀駅徒歩2分の好立地で通いやすいです。
眉下切開施術の特徴
- 眉毛下の皮膚を切開し余分な皮膚を除去
- 目の開きが良くなり二重幅が広がる
- 傷跡は眉毛下で目立ちにくい


施術詳細
眉下ラインぎりぎりの切開によるたるんだまぶたの改善施術
副作用・リスク
だるさ・熱感・頭痛・蕁麻疹・痒み・むくみ・発熱・咳・冷や汗・胸痛


施術詳細
眉の下のラインぎりぎりを切開し、たるんだまぶたを改善する施術
副作用・リスク
だるさ・熱感・頭痛・蕁麻疹・痒み・むくみ・発熱・咳・冷や汗・胸痛、顔の雰囲気の変化
湘南美容クリニック 広島院
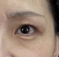
眉下切開の口コミ
※口コミは個人の感想であり、効果を保証するものではありません
※Google mapの口コミを引用
湘南美容クリニック 広島院の詳細
- アクセス広電立町駅より徒歩1分
- 住所
- 営業時間9:00~18:00
ルラ(LULA)美容クリニック広島院
ルラ美容クリニック広島院は技術力と価格に自信があります。糸リフトや二重整形、クマ取り、人中短縮、鼻整形、脂肪吸引、ヒアルロン酸豊胸など幅広く対応。オーダーメイド施術で理想の美を叶えます。無料カウンセリング・アフターケアも充実しているため安心です。
眉下切開施術の特徴
- 目の上のたるみを大幅改善
- 二重ラインがくっきり際立つ
- 目と眉毛の距離が自然に近づく
ルラ(LULA)美容クリニック広島院
眉下切開の料金・症例

- 施術名金額
- 眉下リフト ナチュラル 全顔モニター110,000円(税込)
- 眉下リフト ナチュラルロング 全顔モニター220,000円(税込)


施術詳細
眉下リフトは眉毛の下に沿って切開していき、眉毛の下の皮膚を取り除く施術


施術詳細
要問合せ
副作用・リスク
ハレ/痛み:2日~1週間位。内出血:1~2週間位。傷跡:1ヶ月位。 通院:5~7日後(抜糸)
ルラ(LULA)美容クリニック広島院
眉下切開の口コミ
※口コミは個人の感想であり、効果を保証するものではありません
※Google mapの口コミを引用
ルラ(LULA)美容クリニック広島院の詳細
- アクセス本通駅より徒歩1分
- 住所
- 営業時間10:00~19:00
- 院長松尾 林太郎医師
TCB東京中央美容外科 広島院

TCB東京中央美容外科 広島院は新規相談を丁寧に伺い、患者様のお悩みに最適な治療法を提案します。駅近で通いやすく、専門医によるカスタマイズ治療で理想の目元を叶えます。
眉下切開施術の特徴
- 眉下の余分な皮膚と脂肪を除去
- 自然な目元でたるみをリフトアップ
- 傷跡は眉毛下で目立ちにくい
TCB東京中央美容外科 広島院
眉下切開の料金・症例

- 施術名金額
- 眉下リフト スタンダード83,600円(税込)
- 眉下リフト スーパーナチュラル173,800円(税込)
- 眉下リフト スーパーナチュラルロング297,000円(税込)
- 眉下リフト パーフェクト448,000円(税込)


施術詳細
下まぶた裏側からの脂肪除去によるふくらみ・たるみ改善施術
副作用・リスク
腫れ・内出血


施術詳細
眉毛の直下にある余分な皮膚、脂肪を除去し、たるんだまぶたを改善させる手術
副作用・リスク
だまぶたを改善させる手術です。
手術の副作用(リスク):
TCB東京中央美容外科 広島院
眉下切開の口コミ
※口コミは個人の感想であり、効果を保証するものではありません
※Google mapの口コミを引用
TCB東京中央美容外科 広島院の詳細
- アクセス広島電鉄立町駅より徒歩3分
- 住所
- 営業時間10:00~19:00
東京美容外科 広島・福山院
広島・福山院が選ばれる理由は3つあります。まず形成外科専門医が在籍し、経験豊富な医師のみが施術を担当。次に他院修正やセカンドオピニオンにも対応し、無料カウンセリングを実施。さらに専属麻酔科医が常勤し、安全で早い術後回復を実現しています。
眉下切開施術の特徴
- 視野を狭めるまぶたのたるみを改善
- まぶたの重さや腫れぼったさを解消
- 疲れた印象の目元を若々しくスッキリ
東京美容外科 広島・福山院
眉下切開の料金・症例
- 施術名金額
- 目の上のたるみ取り 片目165,000円(税込)
- ブローリフト(眉下リフト) 片目231,000円(税込)
- オリジナルブローリフト(眉上リフト) 片目231,000円(税込)
- 目の上のたるみ取り 両目275,000円(税込)
- 目の上のたるみ取り+脂肪取り 片目341,000円(税込)
- ブローリフト(眉下リフト) 両目385,000円(税込)
- オリジナルブローリフト(眉上リフト) 両目385,000円(税込)
- 目の上のたるみ取り+脂肪取り 両目495,000円(税込)


施術詳細
ブローリフトは眉毛の生え際の皮膚を処置し、まぶたを引き上げ、たるみを改善
施術詳細
要問合せ
副作用・リスク
要問合せ
東京美容外科 広島・福山院
眉下切開の口コミ
※口コミは個人の感想であり、効果を保証するものではありません
※Google mapの口コミを引用
東京美容外科 広島・福山院の詳細
- アクセス福山駅より徒歩5分
- 住所
- 営業時間10:00~19:00
- 院長山師 幸大医師
すず美容形成外科医院

形成外科専門医が在籍しており、医師によるカウンセリングを受けることが可能です。女性特有の悩みが相談しやすいよう、女性院長が在籍しているクリニックです。
眉下切開施術の特徴
- 眉下を切開し自然にたるみ改善
- 傷跡が眉毛に隠れ目立ちにくい
- 目と眉の距離が自然に短縮
すず美容形成外科医院
眉下切開の口コミ
※口コミは個人の感想であり、効果を保証するものではありません
※Google mapの口コミを引用
すず美容形成外科医院の詳細
- アクセス広島電鉄 八丁堀電停より徒歩1分
- 住所
- 営業時間10:00~18:00
並木Sクリニック

術後約3か月間の診察料がかからず、アフターケアが充実しているクリニックです。術後早期回復するよう、LED光治療やインディバの高周波等を受けることができます。
眉下切開施術の特徴
- 自然に若返る人気の高い施術
- 希望に合わせて皮膚の幅を調整
- 厚い皮膚と脂肪を同時に切除可能
並木Sクリニック
眉下切開の口コミ
※口コミは個人の感想であり、効果を保証するものではありません
※Google mapの口コミを引用
並木Sクリニックの詳細
- アクセス八丁堀交差点より徒歩6分
- 住所
- 営業時間11:00~19:00
共立美容外科 広島院

施術後外を歩く時間が減るよう、駅近くアクセスの良い立地にあるクリニックです。失敗が許されない芸能人の施術も多く行っています。
眉下切開施術の特徴
- 眉毛下を切開し自然に仕上げ
- 余分な皮膚と脂肪を同時に除去
- 傷跡は眉毛下に沿い目立ちにくい


副作用・リスク
腫れ


施術詳細
要問合せ
副作用・リスク
要問合せ
共立美容外科 広島院
眉下切開の口コミ
※口コミは個人の感想であり、効果を保証するものではありません
※Google mapの口コミを引用
共立美容外科 広島院の詳細
- アクセス八丁堀駅より徒歩3分
- 住所
- 営業時間10:00~19:00
広島プルミエクリニック

医師、看護師、カウンセラー等、経験豊富なスタッフが担当するクリニックです。カウンセリングは無料で受けることができ、個人の希望に合わせた治療を提案してくれます。
眉下切開施術の特徴
- 眉下を切開し余剰皮膚を除去
- ダウンタイムが短く回復が早い
- 元の二重を維持しやすい施術


施術詳細
眉下切開による余剰皮膚の切除施術
副作用・リスク
内出血・腫れ・むくみ・赤み
広島プルミエクリニック
眉下切開の口コミ
※口コミは個人の感想であり、効果を保証するものではありません
※Google mapの口コミを引用
広島プルミエクリニックの詳細
- アクセス広島駅より車で9分
- 住所
- 営業時間9:00~18:00
TCB東京中央美容外科 広島院

TCB東京中央美容外科 広島院は新規相談を丁寧に伺い、患者様のお悩みに最適な治療法を提案します。駅近で通いやすく、専門医によるカスタマイズ治療で理想の目元を叶えます。
眉下切開の!
- 眉下の余分な皮膚と脂肪を除去
- 自然な目元でたるみをリフトアップ
- 傷跡は眉毛下で目立ちにくい
TCB東京中央美容外科 広島院
眉下切開の料金・症例

- 施術名金額
- 眉下リフト スタンダード83,600円(税込)
- 眉下リフト スーパーナチュラル173,800円(税込)
- 眉下リフト スーパーナチュラルロング297,000円(税込)
- 眉下リフト パーフェクト448,000円(税込)


施術詳細
下まぶた裏側からの脂肪除去によるふくらみ・たるみ改善施術
副作用・リスク
腫れ・内出血


施術詳細
眉毛の直下にある余分な皮膚、脂肪を除去し、たるんだまぶたを改善させる手術
副作用・リスク
だまぶたを改善させる手術です。
手術の副作用(リスク):
TCB東京中央美容外科 広島院
眉下切開の口コミ
※口コミは個人の感想であり、効果を保証するものではありません
※Google mapの口コミを引用
TCB東京中央美容外科 広島院の詳細
- アクセス広島電鉄立町駅より徒歩3分
- 住所
- 営業時間10:00~19:00
ルラ(LULA)美容クリニック広島院
ルラ美容クリニック広島院は技術力と価格に自信があります。糸リフトや二重整形、クマ取り、人中短縮、鼻整形、脂肪吸引、ヒアルロン酸豊胸など幅広く対応。オーダーメイド施術で理想の美を叶えます。無料カウンセリング・アフターケアも充実しているため安心です。
眉下切開の!
- 目の上のたるみを大幅改善
- 二重ラインがくっきり際立つ
- 目と眉毛の距離が自然に近づく
ルラ(LULA)美容クリニック広島院
眉下切開の料金・症例

- 施術名金額
- 眉下リフト ナチュラル 全顔モニター110,000円(税込)
- 眉下リフト ナチュラルロング 全顔モニター220,000円(税込)


施術詳細
眉下リフトは眉毛の下に沿って切開していき、眉毛の下の皮膚を取り除く施術


施術詳細
要問合せ
副作用・リスク
ハレ/痛み:2日~1週間位。内出血:1~2週間位。傷跡:1ヶ月位。 通院:5~7日後(抜糸)
ルラ(LULA)美容クリニック広島院
眉下切開の口コミ
※口コミは個人の感想であり、効果を保証するものではありません
※Google mapの口コミを引用
ルラ(LULA)美容クリニック広島院の詳細
- アクセス本通駅より徒歩1分
- 住所
- 営業時間10:00~19:00
- 院長松尾 林太郎医師
東京美容外科 広島・福山院
広島・福山院が選ばれる理由は3つあります。まず形成外科専門医が在籍し、経験豊富な医師のみが施術を担当。次に他院修正やセカンドオピニオンにも対応し、無料カウンセリングを実施。さらに専属麻酔科医が常勤し、安全で早い術後回復を実現しています。
眉下切開の!
- 視野を狭めるまぶたのたるみを改善
- まぶたの重さや腫れぼったさを解消
- 疲れた印象の目元を若々しくスッキリ
東京美容外科 広島・福山院
眉下切開の料金・症例
- 施術名金額
- 目の上のたるみ取り 片目165,000円(税込)
- ブローリフト(眉下リフト) 片目231,000円(税込)
- オリジナルブローリフト(眉上リフト) 片目231,000円(税込)
- 目の上のたるみ取り 両目275,000円(税込)
- 目の上のたるみ取り+脂肪取り 片目341,000円(税込)
- ブローリフト(眉下リフト) 両目385,000円(税込)
- オリジナルブローリフト(眉上リフト) 両目385,000円(税込)
- 目の上のたるみ取り+脂肪取り 両目495,000円(税込)


施術詳細
ブローリフトは眉毛の生え際の皮膚を処置し、まぶたを引き上げ、たるみを改善
施術詳細
要問合せ
副作用・リスク
要問合せ
東京美容外科 広島・福山院
眉下切開の口コミ
※口コミは個人の感想であり、効果を保証するものではありません
※Google mapの口コミを引用
東京美容外科 広島・福山院の詳細
- アクセス福山駅より徒歩5分
- 住所
- 営業時間10:00~19:00
- 院長山師 幸大医師
広島プルミエクリニック

医師、看護師、カウンセラー等、経験豊富なスタッフが担当するクリニックです。カウンセリングは無料で受けることができ、個人の希望に合わせた治療を提案してくれます。
眉下切開の!
- 眉下を切開し余剰皮膚を除去
- ダウンタイムが短く回復が早い
- 元の二重を維持しやすい施術


施術詳細
眉下切開による余剰皮膚の切除施術
副作用・リスク
内出血・腫れ・むくみ・赤み
広島プルミエクリニック
眉下切開の口コミ
※口コミは個人の感想であり、効果を保証するものではありません
※Google mapの口コミを引用
広島プルミエクリニックの詳細
- アクセス広島駅より車で9分
- 住所
- 営業時間9:00~18:00
共立美容外科 広島院

施術後外を歩く時間が減るよう、駅近くアクセスの良い立地にあるクリニックです。失敗が許されない芸能人の施術も多く行っています。
眉下切開の!
- 眉毛下を切開し自然に仕上げ
- 余分な皮膚と脂肪を同時に除去
- 傷跡は眉毛下に沿い目立ちにくい


副作用・リスク
腫れ


施術詳細
要問合せ
副作用・リスク
要問合せ
共立美容外科 広島院
眉下切開の口コミ
※口コミは個人の感想であり、効果を保証するものではありません
※Google mapの口コミを引用
共立美容外科 広島院の詳細
- アクセス八丁堀駅より徒歩3分
- 住所
- 営業時間10:00~19:00
湘南美容クリニック 広島院

湘南美容クリニック広島院は、二重整形やクマ取り、脂肪吸引、豊胸、婦人科形成、小顔治療、医療脱毛、医療ハイフ、シミ取り、ヒアルロン酸注入、AGA治療など幅広い施術に対応。立町駅徒歩1分、八丁堀駅徒歩2分の好立地で通いやすいです。
眉下切開の!
- 眉毛下の皮膚を切開し余分な皮膚を除去
- 目の開きが良くなり二重幅が広がる
- 傷跡は眉毛下で目立ちにくい


施術詳細
眉下ラインぎりぎりの切開によるたるんだまぶたの改善施術
副作用・リスク
だるさ・熱感・頭痛・蕁麻疹・痒み・むくみ・発熱・咳・冷や汗・胸痛


施術詳細
眉の下のラインぎりぎりを切開し、たるんだまぶたを改善する施術
副作用・リスク
だるさ・熱感・頭痛・蕁麻疹・痒み・むくみ・発熱・咳・冷や汗・胸痛、顔の雰囲気の変化
湘南美容クリニック 広島院
眉下切開の口コミ
※口コミは個人の感想であり、効果を保証するものではありません
※Google mapの口コミを引用
湘南美容クリニック 広島院の詳細
- アクセス広電立町駅より徒歩1分
- 住所
- 営業時間9:00~18:00
すず美容形成外科医院

形成外科専門医が在籍しており、医師によるカウンセリングを受けることが可能です。女性特有の悩みが相談しやすいよう、女性院長が在籍しているクリニックです。
眉下切開の!
- 眉下を切開し自然にたるみ改善
- 傷跡が眉毛に隠れ目立ちにくい
- 目と眉の距離が自然に短縮
すず美容形成外科医院
眉下切開の口コミ
※口コミは個人の感想であり、効果を保証するものではありません
※Google mapの口コミを引用
すず美容形成外科医院の詳細
- アクセス広島電鉄 八丁堀電停より徒歩1分
- 住所
- 営業時間10:00~18:00
並木Sクリニック

術後約3か月間の診察料がかからず、アフターケアが充実しているクリニックです。術後早期回復するよう、LED光治療やインディバの高周波等を受けることができます。
眉下切開の!
- 自然に若返る人気の高い施術
- 希望に合わせて皮膚の幅を調整
- 厚い皮膚と脂肪を同時に切除可能
並木Sクリニック
眉下切開の口コミ
※口コミは個人の感想であり、効果を保証するものではありません
※Google mapの口コミを引用
並木Sクリニックの詳細
- アクセス八丁堀交差点より徒歩6分
- 住所
- 営業時間11:00~19:00
聖心美容クリニック 広島院

カウンセリングの際にシミュレーションシステムを元に希望の治療法を決めることが可能なクリニックです。その人の個性に合った美しさにこだわっている院長が在籍しています。
眉下切開の!
- 自然な仕上がりで目元の印象変わらず
- 皮膚の厚みを軽減し腫れぼったさ改善
- 患者ごとに適したデザインを提案実施
聖心美容クリニック 広島院
眉下切開の料金・症例

- 施術名金額
- 眉下切開(眉下リフト)385,000円(税込)
- 眉下切開(眉下リフト)+脂肪切除473,000円(税込)
- 眉下切開法(眉下リフト)+ROOF切除550,000円(税込)


施術詳細
眉毛下縁の毛流れに沿った切除デザイン。
局所麻酔後の皮膚切除。
必要に応じた眼輪筋・ROOFの切除や吊り上げ処置。
切除部の縫合処理。
副作用・リスク
浮腫、痛み、内出血、血腫、シスト形成、肥厚性瘢痕、眉毛変形、左右差、引き攣れ、閉瞼障害、二重の消失、変形


施術詳細
要問合せ
副作用・リスク
施術後の腫れ、痛み、内出血、左右差、後戻り、シスト(嚢胞)形成、異物感
聖心美容クリニック 広島院
眉下切開の口コミ
※口コミは個人の感想であり、効果を保証するものではありません
※Google mapの口コミを引用
聖心美容クリニック 広島院の詳細
- アクセス市電立町電停より徒歩5分
- 住所
- 営業時間10:00~19:00
















